אודות כותב המאמר ד"ר זלמן יצחקוב
ד"ר זלמן יצחקוב, מייסד מרפאת אנדוראד קליניק, הוא מומחה בעל שם ברדיולוגיה אבחנתית והתערבותית.
את לימודי הרפואה השלים באוניברסיטת סגד שבהונגריה, ולאחר מכן התמחה ברדיולוגיה אבחנתית בבית החולים שמיר (אסף הרופא).
ד"ר יצחקוב מתמחה בצנתורי גוף ומציע טיפולים מתקדמים וחדשניים, תוך מתן דגש על מקצועיות בלתי מתפשרת וטיפול אישי.
לנוחיותכם, תוכן עניינים המאפשר מעבר מהיר לאזור בכתבה >>
לנוחיותכם, תוכן עניינים המאפשר מעבר מהיר לאזור בכתבה >>
מהי אנגיומיוליפומה?
אנגיומיוליפומה כלייתית (Renal Angiomyolipoma – AML) היא גידול שפיר של הכליה, המורכב משלושה מרכיבים עיקריים: כלי דם, שריר חלק ורקמת שומן. זהו הגידול השפיר השכיח ביותר בכליה.
ברוב המקרים מדובר בממצא אקראי המתגלה בבדיקת אולטרהסאונד, CT או MRI. כאשר הנגע גדל מעל ל- 4 ס״מ עולה משמעותית הסיכון לדימום שעלול להיות מסכן חיים.
מהם התסמינים של אנגיומיוליפומה?
במרבית המקרים אין תסמינים כלל. כאשר מופיעים תסמינים, הם עשויים לכלול:
- כאב במותן או בגב התחתון
- דם בשתן (המטוריה)
- ירידה בלחץ דם עקב דימום פנימי
- ממצא נמוש בבטן (כאשר הגידול גדול מאד)
במקרים של דימום חריף, ייתכן מצב חירום רפואי.
מתי יש צורך בטיפול?
על פי הספרות המקצועית והקווים המנחים המקובלים, טיפול נשקל כאשר:
- קוטר הגידול מעל 4 ס״מ
- יש דימום פעיל או אירוע דימומי בעבר
- הופעת כאבים משמעותיים
- גדילה מהירה של הנגע
- נשים בגיל הפוריות (עקב סיכון מוגבר לדימום בהריון)
- חולי Tuberous Sclerosis עם נגעים מרובים
במקרים בהם הממצא קט וללא תסמינים ניתן להסתפק במעקב הדמייתי.
טיפול באנגיומיוליפומה באמצעות צנתור (אמבוליזציה)
מהי אמבוליזציה של אנגיומיוליפומה?
אמבוליזציה היא פעולה זעיר-פולשנית המבוצעת דרך כלי דם. במהלך הפעולה מבוצעת חסימה סלקטיבית של כלי הדם המזינים את הגידול, ובכך נחסמת זרימת הדם אליו.
התוצאה:
הקטנת נפח הגידול
הפחתת הסיכון לדימום
שימור מרבי של רקמת הכליה התקינה
אמבוליזציה נחשבת כיום לטיפול קו ראשון במקרים עם תסמינים או בנגעים גדולים.
כיצד מתבצע הצנתור?
הפעולה מתבצעת בחדר צנתורים, לרוב בהרדמה מקומית עם טשטוש.
1
גישה עורקית דרך שורש כף היד (רדיאלי) או המפשעה (פמורלי)
2
צנתור סלקטיבי של עורק הכליה
3
זיהוי הענפים המזינים את האנגיומיוליפומה
4
אמבוליזציה סופר-סלקטיבית באמצעות חלקיקים ו/או נוזל כגון ONYX או SQUIDPERI .
ההליך אורך כשעה ואינו דורש חתך ניתוחי.
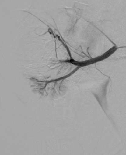
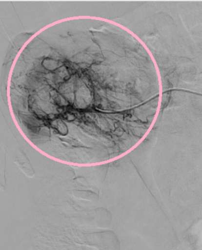
תמונות מההליך
שלבי הפעולה:
- הדגמת סלקטיבית של ה-AML בכליה הימנית. עושר של עורקים מפותלים ומורחבים (tortuous feeding vessels), היעדר מבנה קפילרי תקין, הסתעפויות לא סדירות מבנה זה מסביר את הנטייה לדימום ספונטני.
- הדגמת של הכליה וה-AML בכליה הימנית. הכליה נצבעת בחומר הניגוד בעצה רבה יותר מאשר ה-AML.
- סיום הצנתור – הפסקת זרימת הדם לגידול
- במהלך האמבוליזציה – חסימה סלקטיבית של הענפים המזינים, אט אט פחות כלי דם נצפים.
- שמירה על רקמת הכליה הבריאה
יתרונות הטיפול בצנתור לעומת ניתוח
- טיפול זעיר-פולשני ללא חתך
- שימור תפקוד כלייתי מרבי
- שיעור סיבוכים נמוך
- אשפוז קצר
- החלמה מהירה
- אפשרות לחזרה על הפעולה במקרה הצורך
- יעילות גבוהה במניעת דימום עתידי (85–95% לפי מחקרים)
התאוששות לאחר אמבוליזציה
- מרבית המטופלים משתחררים לביתם לאחר 12 שעות.
- ייתכן כאב קל במותן או חום נמוך בימים הראשונים (תסמונת פוסט-אמבוליזציה), החולפים לרוב תוך מספר ימים עם טיפול תומך פשוט.
- בבדיקות הדמיה חוזרות נצפית ירידה הדרגתית בגודל הנגע והיעלמות זרימת הדם הפתולוגית.
סיכונים וסיבוכים אפשריים
אמבוליזציה נחשבת בטוחה מאוד. סיבוכים משמעותיים נדירים וכוללים:
- כאב זמני
- חום קל
- המטומה באזור הגישה
- פגיעה ברקמה כלייתית תקינה
שיעור נמוך ביותר של צורך בניתוח משלים.
לסיכום, אנגיומיוליפומה היא גידול כלייתי שפיר, אך כאשר הוא גדול או סימפטומטי קיים סיכון ממשי לדימום. אמבוליזציה סלקטיבית של עורקי הכליה מהווה כיום טיפול מתקדם, מבוסס ספרות ובטוח, המאפשר הקטנת הגידול ומניעת סיבוכים תוך שימור הכליה והימנעות מניתוח.
תיאום ייעוץ והערכת התאמה לטיפול
לבדיקה, אבחון והתאמת טיפול אישי באנגיומיוליפומה באמצעות צנתור מתקדם ניתן לפנות למרפאתנו.


