אודות כותב המאמר ד"ר זלמן יצחקוב
ד"ר זלמן יצחקוב, מייסד מרפאת אנדוראד קליניק, הוא מומחה בעל שם ברדיולוגיה אבחנתית והתערבותית.
את לימודי הרפואה השלים באוניברסיטת סגד שבהונגריה, ולאחר מכן התמחה ברדיולוגיה אבחנתית בבית החולים שמיר (אסף הרופא).
ד"ר יצחקוב מתמחה בצנתורי גוף ומציע טיפולים מתקדמים וחדשניים, תוך מתן דגש על מקצועיות בלתי מתפשרת וטיפול אישי.
לנוחיותכם, תוכן עניינים המאפשר מעבר מהיר לאזור בכתבה >>
לנוחיותכם, תוכן עניינים המאפשר מעבר מהיר לאזור בכתבה >>
פרטי המקרה:
גבר בן 60 עם תסמיני השתנה חסימתיים משמעותיים(LUTS) על רקע הגדלה ניכרת של הערמונית זרם משתנה ולעיתים חלש, טיפטופים, דחיפות ותכיפות משמעותיות, תחושת התרוקנות לא מלאה. המטופל תיאר עייפות כרונית ופגיעה קשה באיכות החיים.
בבדיקות:
- נפח ערמונית (PV) כ-100 סמ״ק (CC).
- שארית שתן (PVR) 80 סמ״ק (CC)
- PSA 11 – גבוה מהנורמה,
- MRI – וביופסיית פיוזן – ללא עדות לממאירות.
- טיפול תרופתי: טמסולין.
- קלינית: ללא שיפור מספק, האורולוג המטפל המליץ על ניתוח.
- בשל חומרת התסמינים וכישלון הטיפול השמרני בחר בצנתור ערמונית.
האבחנה:
מדובר ב־BPH מתקדם עם חסימה משמעותית (Bladder Outlet Obstruction), כישלון טיפול תרופתי ופגיעה ניכרת באיכות החיים.
אפשרויות הטיפול:
טיפולים ניתוחיים כוללים:
- TURP
- HoLEP
מדובר בפעולות פולשניות הכרוכות באשפוז, קטטר שתן והחלמה ממושכת.
הוצע למטופל טיפול חלופי מתקדם: צנתור עורקי הערמונית (PAE)
מהלך הפעולה:
- הפעולה בוצעה בחדר צנתורים בהרדמה מקומית וטישטוש.
- באמצעות צנתר שהוחדר דרך עורק המפשעה, בוצע ניווט סלקטיבי לעורקי הערמונית הימני והשמאלי.
- בוצעה אמבוליזציה סופר-סלקטיבית באמצעות מיקרוספרות ( EMBOSPHERE 100-300) ונוזל SQUIDPERI 12 עד להשגת חסימה מלאה של אספקת הדם לערמונית, תוך שמירה על זרימה תקינה לרקמות סמוכות.
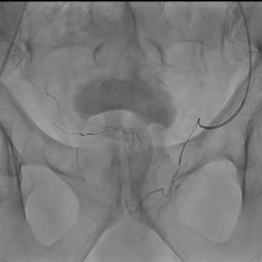
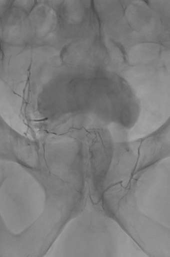
תמונות מהצנתור:
- במהלך הפעולה: החדרת החלקיקים לעורקים המזינים, כעת רקמת הערמונית אינה מקבלת אספקת דם והעורקים הראשיים נצפים. מזריקים משמאל והעורק הראשי מימין מתמלא אך לא רקמת הערמונית שנחסמה.
- לפני החסימה: נראית זרימה עשירה לעורקי הערמונית המוגדלת, הצנתר נמצא בצד שמאל ובעת הזרקת חומר הניגוד ישנם עורקים משותפים לשמאל וימין. כאשר מזריקים את חומר הניגוד מצד שמאל, צד ימין מתמלא באופן מלא. המצב יכול לרמז על היצרות או חסימה במוצא עורק הערמונית הימני.
- ממשיכים כעת לצד ימין וניתן לראות שהעורקים נצבעים בהיקף הערמונית בלבד מכיוון שהרקמה נחסמה כבר מקודם דרך הצד השני.
- לצורך חסימת העורקים הראשיים הוזרק נוזל הממלא את חלל העורק וחוסם אותו. צבעו של החומר שחור בדומה לחומר הניגוד.
- חוסמים באמצעות נוזל: SQUIDPERI 12
לאחר החסימה:
היעלמות זרימת הדם לערמונית – חסימה מלאה ומדויקת.
תוצאות והתאוששות:
המטופל שוחרר לביתו לאחר כ 12 שעות.
בשבועות הראשונים:
- ירידה משמעותית בנוקטוריה
- שיפור בזרם השתן
- ירידה בתכיפות
בביקורת:
- שיפור משמעותי בציון IPSS
- שיפור איכות חיים
לראשונה מזה שנים – שינה רציפה. כפי שכתב המטופל " …לא קם בלילה".
נתונים מחקריים על יעילות PAE
מחקרים קליניים ומטא-אנליזות מצביעים על:
ירידה ממוצעת של 10–15 נקודות ב-IPSS
שיפור של כ-50% בתסמיני השתנה
ירידה של 20–40% בנפח הערמונית
שיפור משמעותי בזרימת השתן (Qmax)
ירידה בנוקטוריה
שיעור סיבוכים משמעותיים נמוך מ-5%, וברוב המקרים מדובר בתסמינים קלים וחולפים.
יתרונות צנתור ערמונית (PAE)
- ללא הרדמה כללית
- ללא חתך ניתוחי
- ללא קטטר שתן ממושך
- שימור תפקוד מיני
- מתאים בכל נפח ערמונית מעל 30 סמ"ק.
- החלמה מהירה
- מבוסס מחקרית
לסיכום, המקרה מדגים כיצד צנתור עורקי הערמונית מאפשר טיפול יעיל ובטוח בגברים הסובלים מערמונית מוגדלת ונוקטוריה קשה – גם לאחר כישלון טיפול תרופתי.
מדובר בפתרון מתקדם, זעיר-פולשני, המאפשר חזרה מהירה לשגרה ושיפור משמעותי באיכות החיים – ללא ניתוח.
מתעורר שוב ושוב בלילה?
לתיאום ייעוץ והערכת התאמה לצנתור ערמונית – פנו למרפאתנו.


