אודות כותב המאמר ד"ר זלמן יצחקוב
ד"ר זלמן יצחקוב, מייסד מרפאת אנדוראד קליניק, הוא מומחה בעל שם ברדיולוגיה אבחנתית והתערבותית.
את לימודי הרפואה השלים באוניברסיטת סגד שבהונגריה, ולאחר מכן התמחה ברדיולוגיה אבחנתית בבית החולים שמיר (אסף הרופא).
ד"ר יצחקוב מתמחה בצנתורי גוף ומציע טיפולים מתקדמים וחדשניים, תוך מתן דגש על מקצועיות בלתי מתפשרת וטיפול אישי.
לנוחיותכם, תוכן עניינים המאפשר מעבר מהיר לאזור בכתבה >>
פרטי המקרה:
מטופל בשנות ה־60 פנה לאורולוג בשל הפרעה חסימתית במתן שתן. טיפול תרופתי שקיבל במשך חודשים לא שיפר את מצבו ונפח הערמונית שנמדד היה כ־100 סמ״ק. הומלץ לו לעבור ניתוח ערמונית בשיטת אקווהאבלציה, אך לאחר שקיבל הסבר מפורט על ההליך ועל תופעות הלוואי האפשריות בעיקר סיכון לשפיכה אחורית הוא התעכב בקבלת החלטה במשך כשנה.
כעבור שנה פנה אלינו, הפעם כשהוא באצירת שתן. ברקע מדובר במטופל סוכרתי ומעשן, עם גורמי סיכון למחלת כלי דם, סכרת ועישון. בעבר עבר צנתור לבבי והשתלת תומכנים, ובהמשך גם ניתוח בעורקי הרגל עקב היצרויות טרשתיות קשות שגרמו לקושי ניכר בהליכה. הוא נוטל מדלל דם (אליקוויס) באופן קבוע.
אבחנה: ערמונית מוגדלת ואצירת שתן
הגדלה שפירה של הערמונית (BPH) היא תופעה שכיחה בגיל המבוגר, אך כאשר נפח הערמונית עולה על 100 סמ״ק, הסיכון לסיבוכים גדל.
ערמונית בנפח כזה עלולה לגרום ל:
- אצירת שתן חוזרת ואף צורך בקטטר קבוע
- עיבוי של דופן שלפוחית השתן
- זיהומים בדרכי השתן עקב שארית שתן גדולה
- דימומים
- החמרה בתסמינים: תכיפות, דחיפות וזרם חלש
במקרים אלו טיפול תרופתי כמעט ואינו מסייע, ונדרש טיפול מתקדם שמטרתו להקטין את נפח הערמונית ולשפר את זרימת השתן.
בנוסף עשוי לעניין אותך, הסיבות לתכיפות מתן שתן בלילה >>
אפשרויות הטיפול:
כאשר ערמונית עולה על 100 סמ״ק, ובמיוחד כאשר מופיעה אצירת שתן, יש לשקול התערבות שתקטין את נפח הערמונית.
אפשרויות ניתוחיות
TURP מתאים בעיקר עד 80 סמ״ק, פחות יעיל בנפחים גדולים.
HOLEP יעיל גם בערמוניות גדולות, אך דורש הרדמה כללית ומיומנות גבוהה.
אקווהאבלציה כריתה באמצעות סילון מים ממוקד, בהכוונת רובוט ואולטרסאונד. מאפשר דיוק גבוה ושיעור תופעות לוואי נמוך. למרות יעילותם, ניתוחים אלו עלולים להיות מאתגרים יותר במטופלים מבוגרים, עם מחלות רקע או בנוטלי מדללי דם.
מדוע נבחר צנתור עורקי הערמונית ?
לאחר הסבר מפורט על היתרונות והחסרונות של כל שיטה, המטופל בחר לעבור צנתור עורקי הערמונית, (PAE) Prostatic Artery Embolization הוא הליך זעיר-פולשני בהרדמה מקומית בלבד, המבוצע על ידי רדיולוג פולשני.
במהלך הפעולה מוזרמים חלקיקים זעירים לעורקי הערמונית כדי לחסום את זרימת הדם תהליך שמוביל להקטנת נפח הערמונית ולשיפור משמעותי בתסמיני השתן, ללא צורך בניתוח או הרדמה כללית.
הפעולה נמשכת כשעה עד שעה וחצי, ובדרך כלל המטופלים משוחררים למחרת. מטופל זה עבר את הפעולה בהצלחה, שוחרר ביום למחרת, וניגמל מהקטטר בתוך שבוע.
מדוע PAE מתאים במיוחד למקרה זה?
- יעילות גבוהה בגמילה מקטטר
- ניתן לביצוע גם בנוטלי מדללי דם לעיתים עם הפסקה קצרה בלבד (12–18 שעות)
- ללא צורך בהרדמה כללית
- החלמה מהירה ושחרור למחרת
מה היה מיוחד ומאתגר במקרה זה?
למטופל היו גורמי סיכון ברורים למחלת כלי דם, שהתבטאו בעבר בהיצרויות בעורקי הלב ובעורק המפשעה הימני. כבר בתחילת ההערכה היה ברור שייתכן קושי משמעותי בניווט בעורקי האגן.
במהלך הצנתור התגלה כי עורק הכסל הפנימי המספק דם לאיברי האגן משמאל חסום לחלוטין במוצאו, והערמונית קיבלה אספקת דם רק דרך הצד הימני, באמצעות מעקף טבעי שהגוף יצר.
האתגר היה לחדור דרך עורק דק במיוחד (בקוטר של כ־1 מ״מ), לעבור מצד ימין של הערמונית לצידה השמאלי דרך המעקף, לבצע חסימה מדויקת ובטוחה ולאחר מכן לסגת אחורנית ולחסום גם את הצד הימני.
למרות המורכבות האנטומית, הפעולה בוצעה במלואה בהצלחה.
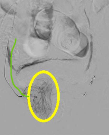
להלן תמונות נבחרות מתוך הצנתור.
הזרקת חומר ניגוד בעורק הכסל הפנימי הימני.
אפשר לראות את המעקף (מסומן בצבע אדום) המוביל דם לערמונית מימין ובהמשכו באמצעות מעקף לעורק הערמונית השמאלי (מסומן בסגול). גבולות הערמונית מסומנות בצהוב. מיקרוקטטר בירוק.
התאוששות לאחר הצנתור Post Embolization Syndrome
בימים שלאחר הפעולה ייתכנו תסמינים זמניים, כחלק מתגובה טבעית של הגוף להרס מבוקר של תאי הערמונית. תופעה זו נקראת Post Embolization Syndrome.
ניתן לקרוא בהרחבה במקרה: אצירת שתן ודימום בערמונית ענקית
לסיכום:
המקרה מדגים כיצד גם במצבים מורכבים במיוחד הכוללים חסימות בכלי דם, היצרויות קשות, אספקת דם לא תקינה לערמונית ואצירת שתן, צנתור עורקי הערמונית (PAE) יכול להתבצע בצורה בטוחה ויעילה בידיים מיומנות.
למרות שתנאי האנטומיה היו מאתגרים במיוחד, הפעולה הושלמה ללא סיבוכים, אפשרה גמילה מהקטטר והעניקה למטופל פתרון מהיר ללא צורך בניתוח וללא הרדמה כללית.
סובלים מאצירת שתן עקב ערמונית מוגדלת? לתיאום ייעוץ עם מרפאת ד״ר זלמן יצחקוב – לחצו כאן.


