אודות כותב המאמר ד"ר זלמן יצחקוב
ד"ר זלמן יצחקוב, מייסד מרפאת אנדוראד קליניק, הוא מומחה בעל שם ברדיולוגיה אבחנתית והתערבותית.
את לימודי הרפואה השלים באוניברסיטת סגד שבהונגריה, ולאחר מכן התמחה ברדיולוגיה אבחנתית בבית החולים שמיר (אסף הרופא).
ד"ר יצחקוב מתמחה בצנתורי גוף ומציע טיפולים מתקדמים וחדשניים, תוך מתן דגש על מקצועיות בלתי מתפשרת וטיפול אישי.
לנוחיותכם, תוכן עניינים המאפשר מעבר מהיר לאזור בכתבה >>
פרטי המקרה:
אישה בשנות ה־40 פנתה למרפאה עם תסמינים שלאחר פקקת ורידית (Post thrombotic syndrome) ממושכים ברגל שמאל מהם סובלת מספר שנים. התסמינים באו לידי ביטוי בכאב, שינויי גוון בעור, נפיחות שמתגברת לאחר עמידה ממושכת, תחושת כובד ועייפות. בנוסף, דיווחה על לחץ מוגבר על שלפוחית השתן המתבטא בתכיפות במתן שתן במהלך היום, כאבים לאחר קיום יחסים וטחורים.
בהיסטוריה הרפואית שלה כשבוע לאחר ניתוח קיסרי התלוננה על כאבים חדים ונפיחות ברגל השמאלית, בחשד לפקקת ורידית עמוקה (DVT) ברגל שמאל, נשלחה לבדיקת דופלקס וורידי הרגליים שהדגימה ורידים עמוקים חסומים ברגל שמאל, מה שמסביר את התלונות של המטופלת.
אבחנה: פקקת ורידית עמוקה (Deep Vein Thrombosis – DVT)
פקקת ורידית סביב לידה, ובייחוד לאחר ניתוח קיסרי, מהווה סיבוך מוכר אך לא שכיח. היא נגרמת משילוב של גורמי סיכון הקשורים להריון ולתקופה שלאחר הלידה: מצב של קרישיות־יתר פיזיולוגית, ירידה בניידות לאחר הניתוח וחסימה זמנית של זרימת הדם בוורידים. גורמים אלה מעלים את הסיכון להיווצרות קריש דם בוורידי הרגל, לרוב דווקא ברגל שמאל.
הפקקת מתבטאת לרוב בנפיחות, כאב, אודם או חום מקומי בשוק או בירך, כאשר הכאב מתגבר בהליכה או בעמידה ממושכת. אבחון מהיר ומתן טיפול מידי חיוניים ביותר, שכן פקקת שאינה מטופלת עלולה להוביל לתסחיף ריאתי מסכן חיים.
הטיפול המקובל כולל נוגדי קרישה ומעקב רפואי, ולעיתים במקרים נרחבים או כאלה הפוגעים משמעותית בחזרת הדם הוורידית נדרש טיפול מתקדם יותר.
ברוב המקרים, תחת טיפול מתאים, המטופלות חוזרות לתפקוד מלא תוך שבועות עד חודשים.
כחלק מהבירור המעמיק מומלץ לבצע:
- בדיקות קרישיות־יתר
- US דופלקס ורידי הרגליים
- CT ונוגרפיה להערכת וורידי הכסל והאגן.
במקרה הנוכחי, בדיקת ה־CT הדגימה היצרות משמעותית בנקודת מיי־טרנר, המקום שבו עורק הכסל המשותף הימני לוחץ על וריד הכסל המשותף השמאלי וגורם להיצרות. בנוסף נצפו שינויים ורידיים באגן משמאל, המתאימים לשינויים פוסט־תרומבוטיים עקב פקקת ורידית ישנה, כלומר היצרות בינונית בוורידים מרכזיים באגן משמאל.
מתי נשקול טיפול טיפול שמרני ?
בשלב החד הטיפול מבוסס על תרופות נוגדות קרישה (מדללי דם) ומעקב. לעיתים נדרש טיפול מתקדם במקרים של פקקת נרחבת או כזו הגורמת לפגיעה קשה בזרימת הדם בחזרה מהרגל. ברוב המקרים, עם טיפול נכון ובהשגחה מתאימה, המטופלות חוזרות לתפקוד מלא בתוך שבועות עד חודשים.
מתי נשקול טיפול טיפול פולשני ?
- פקקת נרחבת מאוד המערבת את הוורידים העמוקים של האגן והירך
- מצב הנקרא Phlegmasia שבו הרגל נפוחה מאוד ומאיימת על זרימת הדם
- קריש הגורם לסיכון ממשי לאיבוד הרגל
- היעדר תגובה לטיפול תרופתי
מהן האפשרויות הטיפוליות?
- פילטר בווריד נבוב תחתון (Inferior Vena Cava) מסנן, זמני בד"כ, למניעת תסחיף ריאתי כאשר לא ניתן לתת מדללי דם.
- צנתור לפירוק והמסת קרישי הדם ( CDT – Catheter-Directed Thrombolysis )
- הזרקת תרופה ממיסה דרך צנתר ישירות לתוך הקריש. כאן חלון ההזדמנויות לטיפול נסגר לאחר 3 שבועות לפי חלק מהמחקרים.
- פריסת תומכן במקרים של היצרות ורידית משמעותית המגבילה את הזרימה לרב בווריד הכסל המשותף.
- Thrombectomy הוצאה של הקריש בניתוח.
נשים לאחר ניתוח קיסרי מגיבות היטב לטיפול תרופתי ולכן הצורך בניתוח נדיר.
מדוע בחרתי בצנתור ורידי במקרה זה ?
המטופלת סובלת מכאב ונפיחות ברגל וישנה פגיעה באיכות חייה של המטופלת.
בספרות המקצועית ישנם המלצות של איגודים מקצועיים המתארים את שיטת הצנתור למבטיחה עם הקלה מהירה בתסמינים ושיפור איכות החיים. טיפול בצנתור שמור למטופלים שלא הגיבו לטיפול שמרני, במקרה זה הטיפול השמרני לא מספיק ולכן מוצדק להציע למטופלת צנתור טיפולי.
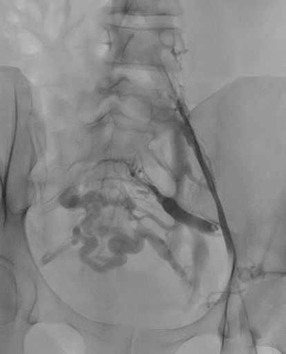
תמונות מהצנתור:
בתמונה 1:
- ונוגרפיה – היצרות של וריד כסל חיצוני ומשותף משמאל, התפתחות מעקפים מורחבים המנקזים באופן איטי את הגף התחתון.
- וריד צר- תכלת
- וריד עוקף מורחב- צהוב
- אזור ההיצרות הקשה – סגול
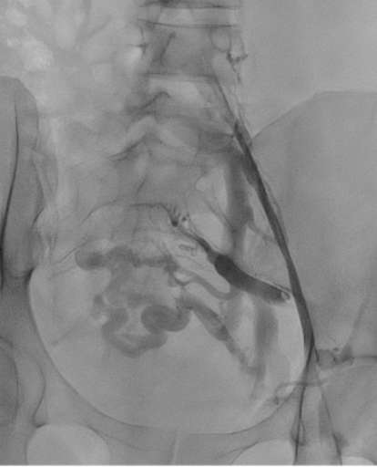
בתמונה 2:
- ורידים מורחבים "גודש ורידי אגן"
בתמונה 3 ו- 4:
- בכחול מסומן בלון מנופח בלחץ גבוה לפתיחת ההיצרות, ישנה נקודה בווריד עם היצרות קריטית שהיה קשה לפתוח באמצעות הבלון.
- בירוק מסומן תומכן (סטנט) שנפרס אך לא נפתח באופן אופטימלי לאור ההיצרות הקשה.
תמונה 5:
פריסה מלאה של התומכן ובדיקה באמצעות IVUS שהווריד פתוח.
תמונה 6:
פתיחה מלאה של הווריד באמצעות התומכן לעומת וונוגרפיה לפני הפעולה
התאוששות לאחר הצנתור
ניתן לקרוא בהרחבה בכתבה על טיפול לפקקת ורידית…
לסיכום:
מרפאתנו מטפלת במקרים בהם קיימת הצדקה רפואית לביצוע צנתור ורידי טיפולי לשיפור זרימת הדם והפחתת התסמינים. הצנתור נחשב כיום לשיטה יעילה ובטוחה המציעה הקלה מהירה ושיפור משמעותי באיכות החיים למטופלים מתאימים.
לייעוץ מקצועי, אבחון והמשך טיפול ניתן לפנות אל המרפאה שלנו, המתמחה בטיפול מתקדם וממוקד בהפרעות ורידיות.
תיאום ייעוץ עם מרפאת ד״ר זלמן יצחקוב – לחצו כאן.


